Top.Mail.Ru
Где купить
Все научные статьи

Долгосрочный успех регенеративного эндодонтического лечения травмированных зубов у ребёнка с 7 до 14 лет

Терапия

Клинический случай с семилетним наблюдением

Актуальность

Юное поколение довольно часто подвержено травмам центральных зубов в случаях падения, занятиях спортом или в результате бытовых несчастных случаев. Перелом центральных резцов может привести к нарушению прикуса и эстетическим проблемам или к стоматологическим осложнениям, таким как некроз пульпы и периапикальная патология. Традиционное лечение корневых каналов может оказаться недостаточным, особенно для несформировавшихся зубов. В данной статье представлен клинический случай перелома центрального резца с применением регенеративного эндодонтического лечения.

Регенеративное эндодонтическое лечение (RET – regenerative endodontic treatment) представляет собой многообещающую альтернативу, направленную на устранение инфекции при одновременном стимулировании развития корня и жизнеспособности зуба. В данном клиническом случае описывается успешное лечение некротически-инфицированного травмированного верхнего резца у семилетней девочки с помощью RET.

Клинический случай

Ребенок 7 лет обратился в клинику с травматическим повреждением левого центрального резца верхней челюсти, полученным месяц назад. Жалобы на легкий дискомфорт и периодическую отечность в области пораженного зуба. Клинический осмотр показал болезненность при перкуссии и пальпации. Периапикальная рентгенограмма, сделанная сразу после травмы, показала несформированный верхушечный отдел и нормальное состояние периодонтальной связки (PDL) вокруг травмированного зуба.

После тщательного обсуждения вариантов лечения было принято решение о проведении RET из-за его потенциала для стимулирования развития корня и сохранения жизнеспособности зуба. Лечение началось с применения комбинации антибиотиков и антимикробных средств (пенициллин G, метронидазол и ципрофлоксацин), которые закладывались в корневой канал на первом приеме и находились там в течение одного месяца.

На следующем приеме в корневой канал был помещен готовый волокнистый штифт, после чего полость зуба была заполнена светоотверждаемым композитным реставрационным материалом.

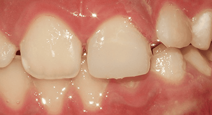
После лечения рентгенограмма показала успешную герметизацию цементной «пробкой» CEM и волокнистым штифтом с признаками эндодонтического поражения. Несмотря на этот результат, с эстетической точки зрения клинические результаты сразу после лечения были признаны успешными.

На приеме через шесть месяцев рентгенограммы показали регрессию апикального поражения. Последующее наблюдение через семь лет, когда пациентке было 14 лет, показало полное созревание зуба, который выглядел нормально в зубном ряду и был функционально интактным.

Выводы

RET представляет собой сдвиг в парадигме эндодонтического лечения, при этом уделяет особое внимание регенерации поврежденных тканей зуба для восстановления их функции и жизнеспособности при одновременном устранении инфекции. Этот метод лечения использует регенеративный потенциал стволовых клеток пульпы зуба и факторов роста, присутствующих в периапикальных тканях. Создавая благоприятную среду в системе корневых каналов и используя биосовместимые материалы, RET стимулирует развитие корней и сохраняет естественный зубной ряд.

Скачать материал

Задать вопрос эксперту

Браго Анжела Станиславовна
к.м.н., врач стоматолог терапевт, доцент кафедры пропедевтики стоматологических заболеваний РУДН

Другие научные статьи

Для корректной работы сайта необходимо использование cookies. Продолжая использовать сайт, Вы даёте своё согласие на работу с этими файлами.