Top.Mail.Ru
Где купить
Все статьи

Лечение осложненного перелома коронки корня верхних передних зубов у ребенка

Ортопедия

Актуальность

Травма зубов является одной из распространенных ситуаций в полости рта и может возникнуть в любом возрасте, особенно в детском и подростковом.

В данной статье описан случай мультидисциплинарного подхода к лечению сложного коронково-корневого перелома верхнечелюстного мезиального резца у 12-летнего ребенка с ретракцией сломанной коронки и восстановлением цельнокерамической коронкой, а также 18-месячное наблюдение с благоприятными клиническими и визуализационными результатами.

Материалы и методы

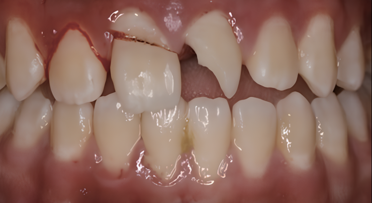
Клиническая картина: 1/3 коронки 11 зуба была сломана косо к шейке корня, часть сломанного зуба – подвижность Ⅲ степени, десна была сросшейся, сломанная коронка хорошо срослась. Зуб 21 был сломан от проксимального мезиального корня до дистальной коронки; проксимальный прерванный конец располагался на 1 мм ниже десны, дистальный прерванный конец находился вровень с резцовым краем, подвижность Ⅰ степени, десневой край кровоточил, и отломанная часть 21 зуба была потеряна. Зуб 12 не имел очевидного перелома коронки, не было видимой критической линии перелома на лабиальной поверхности. Боль при перкуссии была выраженной, подвижность Ⅰ степени, и наблюдалась кровоточивость по десневому краю.

Лечение: на первом приеме была проведена пластика нёбного лоскута, отломки 11 и 21 зубов были удалены. Затем было выполнено эндодонтическое лечение 11 и 21 зубов, а также временное шинирование 13-23 зубов.

На следующем приеме был проведен осмотр, продолжение эндодонтического лечения 11, 21 зубов и временная пломбировка.

На третьем приеме зубы подготовили под цельнокерамическую коронку и сняли цифровые оттиски.

На завершающем приеме состоялась примерка реставрации и проверка окклюзионных контактов.

Результат: клинический осмотр через 6 и 18 месяцев показал, что 11 и 21 зубы не вызывали болезненных ощущений, не имели признаков подвижности, отсутствовали пародонтальные карманы. Родители ребенка были удовлетворены формой и цветом реставраций, а также проведенным лечением.

Выводы

Дети находятся в периоде роста и развития; альвеолярная кость и ткани пародонта формируются нестабильно. Поэтому при лечении данного вида пораженных зубов у детей необходимо учитывать ряд факторов, включая степень развития корня, расположение разрушенного конца, состояние пульпы и сохранность разрушенной коронки. Кроме того, прогноз лечения требует активного сотрудничества со стороны пациента, а также полного понимания ограничений различных вариантов лечения.

Скачать материал

Задать вопрос эксперту

Серебров Дмитрий Витальевич
к.м.н., врач стоматолог ортопед, хирург, доцент кафедры пропедевтики стоматологических заболеваний РУДН

Оценки пользователей

Другие статьи

Для корректной работы сайта необходимо использование cookies. Продолжая использовать сайт, Вы даёте своё согласие на работу с этими файлами.